porcelain veneers patient smiling

Smile Gallery - Dana Point, CA

Smile Gallery

Before & After Photos

You would be surprised just how much a new smile can change your life for the better – personally, socially and professionally. Dana Point Smiles specializes in giving people the beautiful smile they have always wanted. Contact us today to learn more about how you too can enjoy a beautiful new smile!

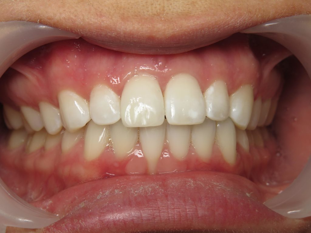
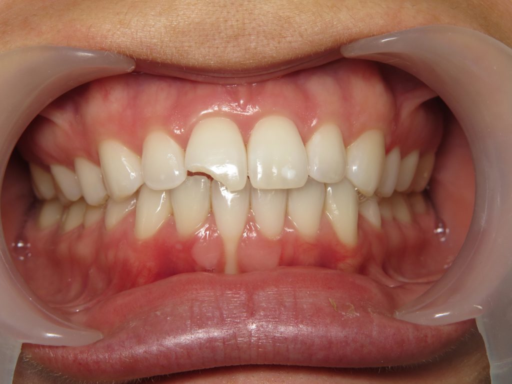
Below are before-and-after photos of Dana Point Smiles patients who have been helped by enhancing their appearance and dental health through cosmetic dental procedures.

Before After
  • Christina

State-Of-The-Art Dentistry

Schedule Your Appointment with us today.